Morbus Köhler-Freiberg
| Klassifikation nach ICD-10 | |
|---|---|
| M92.7 | Juvenile Osteochondrose des Metatarsus |
| ICD-10 online (WHO-Version 2019) | |
Der Morbus Köhler-Freiberg oder Morbus Köhler II, die Juvenile Osteochondrose des Metatarsus, ist eine aseptische Knochennekrose (Knocheninfarkt), meist des zweiten (oder dritten[1] oder auch des vierten[2]) Mittelfußköpfchens. Er tritt vorwiegend an einem der beiden Füße bei Mädchen im Alter zwischen dem 12. und 18. Lebensjahr auf.
Die Krankheit ist benannt nach Alban Köhler[3] und Albert Henry Freiberg. Sie gehört zu den sogenannten präarthrotischen Fußdeformitäten[4] und kann zum Gelenkverschleiß führen.
Geschichte
Diese Krankheit wurde zuerst 1914 von dem Chirurgen Albert Henry Freiberg aus Cincinnati und 1915 von Alban Köhler beschrieben.[5]
Früher sah man eine Beteiligung nicht nur des Mittelfußknochens, sonders des ganzen Metatarsophalangealgelenkes mit der Gefahr einer Arthritis deformans.[6] Damals nannte man sieben typische röntgenologische Kardinalsymptome des Morbus Köhler II:
- röntgenologische Veränderungen der Basis der Zehengrundphalange,
- erhebliche Verbreiterung des Gelenkspaltes
- auffallende Unregelmäßigkeit des Gelenkspaltes
- Abflachung der Kopfkuppe
- Kalkkörperchen an der Gelenkkapsel
- Verkürzung des Caput beziehungsweise des Metatarsus
- Verdickung der distalen Metatarsushälfte mit Verstrichensein des Collum
Synonyme
Synonyme des Morbus Köhler-Freiberg sind Morbus Freiberg (Köhler), Morbus Köhler II, Osteochondronekrose der Metatarsalköpfchen, juvenile Osteochondrose des Metatarsus und aseptische Knochennekrose des Metatarsalköpfchens.[7]
Das Eponym Freiberg nimmt Bezug auf den Chirurgen Albert Henry Freiberg. Der Orthopäde Horst Cotta verwendete die Begriffe Metatarsalköpfchenosteochondrose und Osteochondrose am Metatarsalköpfchen ebenfalls als Synonyme für die Köhler-Freibergsche Erkrankung. Die Benennungen Köhler I und II sind Klinikjargon.
Vor 100 Jahren nannte man andere Synonyme: Köhlersche Krankheit, Freiberg-Köhlersche Krankheit, Köhlers Metatarsophalangealsyndrom, eingekeilte Fraktur oder Eierschalenfraktur.[8]
Ursachen
Es wird diskutiert, ob zu enge und hochhackige Schuhe das Auftreten der Erkrankung begünstigen. Das konnte nicht bewiesen werden. Wahrscheinlicher sind aber die Entstehung der Krankheit aufgrund eines Traumas oder einer Überbelastung (Überlastung) oder eine Begünstigung durch vorhandene Fehlstellungen (zum Beispiel beim Spreizfuß). „Daneben ist die ungünstige Gefäßversorgung der Epiphysen der Mittelfußknochen von Bedeutung.“[9] Die Ursache der Erkrankung ist letztlich jedoch unbekannt.
Anzeichen
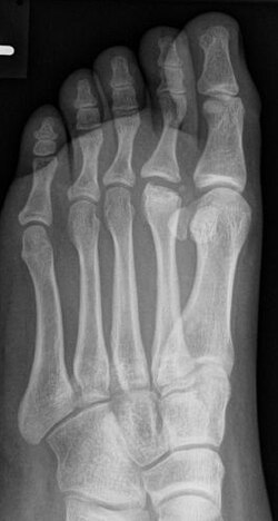
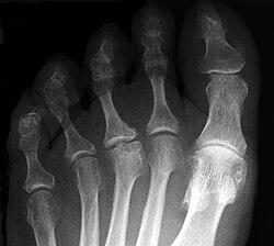
Der betroffene Vorfuß schmerzt bei Belastung, gelegentlich treten auch Schwellungen am Fußrücken im Bereich des Mittelfußköpfchens auf. Im Röntgenbild zeigen sich erst eine Veränderung in der Knochenstruktur des betroffenen Mittelfußköpfchens und erst später eine Abflachung und eine Verbreiterung (siehe Abbildung). Auf Dauer kann die Fehlform der Mittelfußköpfchens zu einer Arthrose führen.
Therapie
Einlagen mit Abstützung hinter den Mittelfußköpfchen bringen oft Linderung, in der Regel aber keine Heilung. Sollten die Beschwerden anhalten, ist (nach Abschluss des Wachstums) eine Operation zu erwägen.[10]
Hinweise
Es gibt insgesamt fünf nach Alban Köhler benannte orthopädische Krankheiten an den Extremitäten (Köhlersche Krankheiten, Köhlersche Syndrome):
- Morbus Köhler I
- Morbus Köhler II (Morbus Köhler-Freiberg)
- Die Köhler-Erkrankung der Metakarpalia heißt auch Dietrich-Syndrom oder Dietrich-Krankheit. Es ist eine Epiphyseonekrose der Mittelhandknochen, vor allem der Metakarpalköpfchen II und III. Benannt nach dem Chirurgen Hans Dietrich (1891–1956).[11]
- Das Stieda-Pellegrini-Syndrom mit dem Stieda-Pellegrini-Köhler-Schatten.
- Das Köhler-Mouchet-Syndrom heißt auch Preiser-Syndrom[12] oder Preiser-Krankheit.[13]
Irrtümlich wurden die Krankheiten Köhler I und Köhler II von Maxim Zetkin und Herbert Schaldach dem deutschen Biologen Georges Jean Franz Köhler zugeschrieben.[14]
Literatur
- Hans Zollinger: Osteonekrosen der Metatarsalköpfchen. Diagnose, Differentialdiagnose und Therapie (= Bücherei des Orthopäden. Band 53). Ferdinand Enke Verlag, Stuttgart 1988, ISBN 3-432-97201-6.
- Carl Joachim Wirth (Hrsg.): Praxis der Orthopädie. Band 2: Operative Orthopädie. 3. Auflage, Georg Thieme Verlag, Stuttgart / New York 2001, ISBN 3-13-125683-4.
- Joachim Brossmann, Christian Czerny, Jürgen Freyschmidt: Freyschmidt's „Köhler/Zimmer“ Grenzen des Normalen und Anfänge des Pathologischen in der Radiologie des kindlichen und erwachsenen Skeletts. 14. Auflage, Georg Thieme Verlag, Stuttgart / New York 2001, ISBN 3-13-362214-5.
Einzelnachweise
- ↑ Duden: Wörterbuch medizinischer Fachbegriffe. Dudenverlag, 10. Auflage, Berlin 2021, ISBN 978-3-411-04837-3, S. 444.
- ↑ Horst Cotta: Orthopädie. 4. Auflage, Georg Thieme Verlag, Stuttgart / New York 1984, ISBN 3-13-555804-5, S. 109.
- ↑ Peter Reuter (Hrsg.): Springer Lexikon Medizin. Springer-Verlag, Berlin 2004, ISBN 978-3-540-20412-1, Lemma Köhler.
- ↑ Wolfgang Dihlmann: Gelenke – Wirbelverbindungen. 2. Auflage, Georg Thieme Verlag, Stuttgart / New York 1982, ISBN 3-13-471202-4, S. 408 f.
- ↑ Günter Thiele, Heinz Walter (Hrsg.): Reallexikon der Medizin und ihrer Grenzgebiete. Verlag Urban & Schwarzenberg, Loseblattsammlung, München / Berlin / Wien 1969, 3. Ordner (F–Hyperl), ISBN 3-541-84000-5, S. F 190 f.
- ↑ Otto Roth, Karl Doll, Hermann Doll: Klinische Terminologie. 10. Auflage, Thieme, Leipzig 1925, S. 265.
- ↑ Günter Dahmen, Gerhard Josenhans, Karl Tillmann (Hrsg.): Erkrankungen des Bewegungsapparates. In: Praxis der Allgemeinmedizin, Band 14, Verlag Urban & Schwarzenberg, München / Wien / Baltimore 1985, ISBN 3-541-10911-4, S. 195.
- ↑ Otto Roth, Karl Doll, Hermann Doll: Klinische Terminologie. 10. Auflage, Thieme, Leipzig 1925, S. 265.
- ↑ Horst Cotta: Orthopädie. 4. Auflage, Georg Thieme Verlag, Stuttgart / New York 1984, ISBN 3-13-555804-5, S. 109.
- ↑ Günter Dahmen, Gerhard Josenhans, Karl Tillmann (Hrsg.): Erkrankungen des Bewegungsapparates. In: Praxis der Allgemeinmedizin, Band 14, Verlag Urban & Schwarzenberg, München / Wien / Baltimore 1985, ISBN 3-541-10911-4, S. 195.
- ↑ Hexal Lexikon Orthopädie, Rheumatologie. Verlag Urban & Schwarzenberg, München / Wien / Baltimore 1992, ISBN 3-541-16421-2, S. 62.
- ↑ Günter Thiele, Heinz Walter (Hrsg.): Reallexikon der Medizin und ihrer Grenzgebiete. Verlag Urban & Schwarzenberg, Loseblattsammlung, München / Berlin / Wien 1971, 4. Ordner (Hyperm–Mel), ISBN 3-541-84004-8, S. K 158.
- ↑ Willibald Pschyrembel: Klinisches Wörterbuch, 269. Auflage, Verlag Walter de Gruyter, Berlin / Boston 2023, ISBN 978-3-11-078334-6, S. 919.
- ↑ Maxim Zetkin, Herbert Schaldach: Lexikon der Medizin, 16. Auflage, Ullstein Medical, Wiesbaden 1999, ISBN 978-3-86126-126-1, S. 1066.
License Information of Images on page#
| Image Description | Credit | Artist | License Name | File |
|---|---|---|---|---|
| Morbus Köhler-Freiberg Freiberg disease 15 Y female | Eigenes Werk | Kinderradiologie Olgahospital Klinikum Stuttgart | Datei:Köhler II.jpeg | |
| Morbus Freiberg-Köhler | Praxis Dr. Jochen Lengerke | Dr. Jochen Lengerke | Datei:Morbus Köhler-Freiberg.jpg | |
| The Rod of Asclepius overlaid with a caution symbol | Star of life caution.svg with Nuvola apps important.svg | Gigillo83 | Datei:P medicine caution.svg |
