Wir freuen uns über jede Rückmeldung. Ihre Botschaft geht vollkommen anonym nur an das Administrator Team. Danke fürs Mitmachen, das zur Verbesserung des Systems oder der Inhalte beitragen kann. ACHTUNG: Wir können an Sie nur eine Antwort senden, wenn Sie ihre Mail Adresse mitschicken, die wir sonst nicht kennen!

unbekannter Gast
Dies ist Version . Es handelt sich nicht um die aktuelle Version und kann folglich auch nicht geändert werden.
[Zurück zur aktuellen Version]    [Diese Version wiederherstellen]
vom 19.04.2015, aktuelle Version,

Arthrose

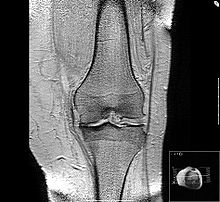
Mediale Gonarthrose MR-Darstellung eines arthrotischen Kniegelenkes. Deutlich zu sehen sind die Osteophyten im medialen (mittigen) und lateralen (seitlichen) Bereich des Gelenkspaltes und der Verschleiß oder Abrieb der Knorpelschicht im linken Bereich des Bildes. Der Knochen des Schienbeinkopfes im mittigen Bereich ist verdichtet, eine Reaktion auf den vermehrten mechanischen Stress. Die Knorpelschicht hat ihre Dämpfungsfunktion eingebüßt.

Der Begriff Arthrose (Syn. Arthrosis deformansaltgriech. Vorlage:Polytonisch arthron ‚Gelenk‘ und lat. deformare ‚verstümmeln‘) bezeichnet nach einer nichtamtlichen Definition in Deutschland einen „Gelenkverschleiß“, der das altersübliche Maß übersteigt.

Ursächlich werden ein Übermaß an Belastung (etwa erhöhtes Körpergewicht), angeborene oder traumatisch bedingte Ursachen wie Fehlstellungen der Gelenke oder auch knöcherne Deformierung durch Knochenerkrankungen wie Osteoporose gesehen. Die Arthrose kann ebenfalls als Folge einer anderen Erkrankung, beispielsweise einer Gelenkentzündung (Arthritis) entstehen (sekundäre Arthrose) oder mit überlastungsbedingter Ergussbildung (sekundäre Entzündungsreaktion) einhergehen (aktivierte Arthrose).[1] In der anglo-amerikanischen Fachliteratur wird die Arthrose als Osteoarthritis (OA) bezeichnet, nicht zu verwechseln mit der Rheumatoiden Arthritis (engl. Rheumatoid Arthritis, RA), einer chronisch entzündlichen Gelenkerkrankung.

Grundsätzlich können alle Gelenke von arthrotischen Veränderungen betroffen werden. In Deutschland ist die Erkrankung am häufigsten im Kniegelenk lokalisiert.[2] Arthrose ist einer der häufigsten Beratungsanlässe in einer allgemeinmedizinischen Praxis.[3] In Deutschland leiden etwa 5 Millionen Menschen an einer Arthrose.[4] Es ist weltweit die häufigste Gelenkerkrankung (Arthropathie).[5]

Einteilung

Klassifikation nach ICD-10
M15-M19 Arthrose
M47 Spondylose (einschließlich Arthrose oder Osteoarthrose der Wirbelsäule, Degeneration der Gelenkflächen)
ICD-10 online (WHO-Version 2016)

Grundsätzlich unterscheidet man die primäre und die sekundäre Arthrose.

Bei der primären Arthrose wird eine biologische Minderwertigkeit des Knorpelgewebes unklarer Ursache angenommen. Sekundäre Arthrosen entstehen durch mechanische Überlastung (etwa bei Hüftgelenksdysplasie), entzündliche Veränderungen (etwa bei Arthritiden) oder metabolische Störungen (etwa bei Chondrokalzinose).[6] Die Häufigkeitsverteilung beider Formen wird kontrovers diskutiert.

Bei der Arthrose führt eine anfängliche Knorpelschädigung im weiteren Verlauf zu Veränderungen am Knochen:

  • Im Stadium 4 flacht die Knochenplatte eines Gelenkes ab. Um den Druck auf dem Gelenk dennoch abzufangen, bilden sich Randwülste am Knochen (Osteophyten).[6]

Ursachen

Hüftgelenk – die mechanische Hauptbelastungszone ist blau dargestellt.
Hüftgelenks-Dysplasie – die mechanische Hauptbelastungszone ist im Vergleich zur Normalvariante deutlich verkleinert.

Grundsätzlich unterscheidet man die Arthrose auch nach ihrer Ursache. Der Arthrosis alcaptonurica liegt eine vermehrte Ablagerung von Homogentisinsäure in Gelenken bei vorbestehender Alkaptonurie zugrunde. Bei der hämophilen Arthrose liegen regelmäßige intraartikuläre Blutungen bei Hämophilie (Blutergelenk) vor. Die Arthrosis urica wird durch den mechanischen Einfluss von Uratkristallen (Harnsäure) auf den gesunden Knorpel hervorgerufen.[7]

Klassische Ursache einer Arthrose stellt die Dysplasie von Gelenken dar. Am Beispiel der Hüfte wird deutlich, dass die mechanisch am meisten belastete Zone bei einer physiologischen Hüftstellung eine deutlich größere Fläche darstellt, als bei einer dysplastischen Hüfte. Die Belastungen durch die auf das Gelenk einwirkenden Kräfte sind von der Gelenkform jedoch weitgehend unabhängig. Sie verteilen sich im Wesentlichen auf die Hauptbelastungszone(n). Dadurch wird bei einer kleineren Zone eine höhere Druckbelastung als bei einer größeren auftreten. Die biomechanische Druckbelastung des Gelenkknorpels ist somit bei einer dysplastischen Hüfte größer als bei physiologischer Hüftstellung. Diese Gesetzmäßigkeit wird allgemein ursächlich für das gehäufte Auftreten arthrotischer Veränderungen an von der anatomischen Idealform abweichenden tragenden Gelenken gesehen.

Sind die Folgen einer Verletzung für einen vorzeitigen Verschleiß verantwortlich, so spricht man von einer posttraumatischen Arthrose. Als weitere Ursachen einer sekundären Arthrose werden mechanische, entzündliche, metabolische, chemische (Chinolone), trophische, hormonelle, neurologische und genetische Gründe diskutiert. In den meisten Fällen wird die Entstehung der Arthrose als idiopathisch, das heißt ohne derzeit fassbare Ursache, angesehen.[8]

Medikamentöse Ursachen für eine Arthrose können beispielsweise Antibiotika aus der Klasse der Gyrasehemmer (Fluorchinolone wie Ciprofloxacin, Levofloxacin) sein. Diese Arzneimittel führen in schlecht vaskularisierten Geweben (hyaliner Gelenkknorpel; Sehnengewebe) zu einer Komplexierung von Magnesium-Ionen, was zur Folge hat, dass irreversible Schäden am Bindegewebe entstehen. Diese Schäden sind bei Kindern und Jugendlichen in der Regel in der Wachstumsphase ausgeprägter. Tendopathien und Arthropathien sind bekannte Nebenwirkungen dieser Medikamentenklasse. Beim Erwachsenen führen diese Antibiotika nach Informationen von unabhängigen Pharmakologen und Rheumatologen zu einem beschleunigten physiologischen Abbau des hyalinen Gelenkknorpels.[9][10][11][12] Auch eine langjährige Behandlung mit Phenprocoumon kann durch Abnahme der Knochendichte bei Belastungen der Gelenkbinnenstruktur eine Arthrose begünstigen.

Neben dem Alter sind mechanische Überbelastungen, (Mikro-) Traumata, durch Verlust der Sicherungsmechanismen verursachte Destabilisierungen der Gelenke, sowie genetische Faktoren als Risikofaktoren für Osteoarthrose bekannt. Jedoch sind weder Entstehung noch Interventionsmöglichkeiten vollständig geklärt.[8]

In einem von Osteoarthrose betroffenen Gelenk ist der Gehalt von Stickstoffmonoxid erhöht. Ähnliches konnte durch mechanische Reizung von Knorpelgewebe beobachtet werden.[13][14][15] Mechanische Krafteinwirkungen sind wahrscheinlich ursächlich an der Entstehung von Osteoarthrose beteiligt.[16]

Prävalenz

Das Risiko, an Arthrose zu erkranken, erhöht sich mit zunehmendem Alter.[17] Etwa zwei Drittel der Menschen über 65 Jahren sind von der Erkrankung betroffen[8], jedoch leiden nicht alle Betroffenen auch an den Symptomen.

Symptome

Eine Arthrose kann symptomlos verlaufen. Typisch sind Anlauf- und belastungsabhängiger Schmerz. Das Ausmaß der Schmerzen korreliert jedoch nicht zwangsläufig mit dem objektiv beurteilbaren Ausprägungsgrad der Arthrose. Als weitere typische Symptome gelten ein Gelenkerguss (aktivierte Arthrose), zunehmende Deformation (Verformung) des Gelenks und Gelenkgeräusche durch zunehmende Unebenheiten der Knorpeloberfläche bei Bewegung.

Diagnostik

CT-Aufnahme einer Arthrose am Iliosakralgelenk (Kreuzbein-Darmbeingelenk)
Schematische Darstellung der radiologischen Zeichen der Hüftgelenksarthrose:

(1) (Rand-)Osteophyt
(2) subchondrale Sklerosierung
(3) Geröllzyste
(4) Gelenkspaltverschmälerung

Der Patient berichtet bei der Anamnese über Gelenkschmerzen, anschließend muss noch geklärt werden, bei welchen Gelegenheiten dieser Schmerz auftritt. Es folgt die klinische Untersuchung der Gelenkkontur, der Funktion, der Bandstabilität, der umgebenden Muskulatur und dann schließt sich, je nach Erfordernis, eine bildgebende Diagnostik an, wie beispielsweise Röntgen, Computertomographie (CT) oder Magnetresonanztomographie (MRT). Zeichen einer bestehenden Arthrose sind dabei eine Verschmälerung des Gelenkspaltes, Sklerose (eine reaktive Knochenverdichtung zu beiden Seiten des Gelenkspaltes), Osteophytenbildung an den Gelenkrändern und subchondrale Zystenbildungen des gelenkbildenden Knochens, die durch feine Rissbildungen des Knorpels und Durchtritt von Gelenkflüssigkeit in die darunter liegende Knochenschicht entstehen.

Wenn sich ein Befund für eine minimal-invasive Intervention anbietet, kann eine Arthroskopie notwendig werden. Die Entwicklung der Arthroskopie hat in den letzten Jahren etliche Gelenke für diese Form des operativen Eingriffs zugänglich gemacht. Am häufigsten werden Arthroskopien am Kniegelenk durchgeführt, auch um präoperativ zum Beispiel abzuklären, welcher Typ Endoprothese im Einzelfall sinnvoll ist. Meistens werden Arthroskopien jedoch eingesetzt, um zeitgleich mit der Diagnostik auch die erforderliche Sanierung des Gelenkes vornehmen zu können.

Durch eine Weiterentwicklung von Methoden zur Auswertung von MRT-Aufnahmen kann Arthrose bereits im Frühstadium erkannt werden.[18] Diese Technik ist auch für die Erforschung neuer Medikamente als therapiebegleitende Verlaufskontrolle von großer Bedeutung.

Behandlung

Grundsätzlich verfolgt die Therapie der Arthrose zwei Ziele, nämlich Schmerzfreiheit unter üblicher Belastung und die Verhinderung mechanischer Einschränkungen oder Veränderungen eines Gelenkes.

Dazu sind folgende Therapieansätze geeignet:

  • Schmerzfreiheit durch
    • fehlenden Reiz zur vermehrten Entstehung von Schmerzmediatoren
    • Unterdrückung der Schmerzwahrnehmung, beziehungsweise der lokalen Auswirkung der Schmerzmediatoren
  • Verhinderung des Fortschreitens von Gelenkveränderungen durch
    • Beseitigung mechanischer Risikofaktoren wie Gelenkdysplasien oder anderer Ursachen, die zu vermehrter Druckbelastung des Gelenkknorpels führen,
    • Regeneration des Gelenkknorpels oder
    • endoprothetischer Ersatz der Gelenkfläche.
Konzept von „SYSADOA“ und „DMOAD“

SYSADOA (Symptomatic Slow Acting Drugs in Osteo-arthritis) sind Substanzen ohne direkte schmerzlindernde Wirkung. Sie ändern grundsätzlich den Verlauf der Arthrose als Krankheit nicht. DMOAD (Disease Modifying Osteo-arthritis Drugs – früher als Chondroprotektiva bezeichnet) sollen den Krankheitsverlauf beeinflussen. Dazu sind eine Verlangsamung der Knorpeldegeneration und/oder eine Verstärkung der Knorpelregeneration (remodelling) geeignet.[19]

Der Placebo-Effekt

Im Rahmen einer Metaanalyse wurden aus bereits bestehenden Arbeiten über Arthrosetherapien die unbehandelten Kontrollgruppen mit den placebobehandelten Kontrollgruppen (medikamentöse, nicht-medikamentöse und operative Placebo-Behandlungen) verglichen. Dabei stellte sich heraus, dass die Scheinbehandlung bezüglich Schmerzerleichterung, Steifigkeit und subjektiver Beweglichkeit der fehlenden Behandlung statistisch signifikant überlegen war.[20]

Vorbeugung im Anfangsstadium

Zur Vorbeugung gegen Arthrose werden nach dem gegenwärtigen Kenntnisstand als empfehlenswert angesehen[21][22]:

  • eine Abwechslung der Arbeitsposition zwischen sitzen und stehen (z.B. Beine unter dem Schreibtisch ausstrecken, beim Telefonat aufstehen)
  • eine ausreichende Bewegung ohne Überlastung (z.B. Rad fahren, schwimmen, Aquajogging, Treppensteigen, Joggen mit Barfußschuhen[23]. Zu vermeiden sind Joggen mit Fersenauftritt[24], Treppen hinuntergehen)
  • der Schutz vor Gelenkverletzungen (Unfall, Trauma, mit Folge einer Trümmerzyste) (Fuß-, Hand-, Basket-, Volleyballspielen und ähnlichen...)
  • die Verhinderung von Übergewicht

Operative Verfahren

Die Möglichkeiten der Therapie hängen vom betroffenen Gelenk ab. So werden bei der Hüftgelenksarthrose (Coxarthrose) als gelenkerhaltende Operationen die Korrekturosteotomien (operative Gelenkumstellung) an Oberschenkel und Becken und als Gelenkersatzoperation eine Endoprothese empfohlen.[25] Bei der Kniegelenksarthrose (Gonarthrose) werden als gelenkerhaltende Operationen die Arthroskopie (gegebenenfalls auch eine Arthrotomie) zu Gelenkspülung, Beseitigung mechanischer Irritationen, Synovektomie, Weichteileingriff zur Verbesserung der Patellaführung und gelenknahe Osteotomien zur Korrektur in Frontal- und/oder Sagittalebene bzw. einer Tuberositasversetzung empfohlen. Als Gelenkersatz kommen eine unikompartimentelle Schlittenprothese, eine ungekoppelte bikompartimentelle Prothese oder eine gekoppelte bikompartimentelle Prothese mit und ohne Retropatellarersatz (gegebenenfalls mit Patellamodellierung) in Frage.[26]

Knorpeltransplantation

Autotransplantation

Hierbei handelt es sich um ein Verfahren, bei dem gut erhaltene Anteile des Gelenkknorpels aus wenig belasteten Randbereichen eines Gelenkes (insbesondere des Kniegelenks) verwendet werden, um Knorpeldefekte in Hauptbelastungszonen zu ersetzen. Diese Technik wird in der Regel in konventioneller Arthrotomie durchgeführt.

Autologe Chondrozyten-Implantation

Die Autologe Chondrozyten-Implantation (ACI) oder Transplantation autologer Knorpelzellen (Chondrozyten) ist eine Form der Behandlung mit dem Ziel, Schäden im Gelenkknorpel auszugleichen, um das Fortschreiten von Knorpelschäden zu verlangsamen, eine Gelenkersatzoperation hinauszuzögern und bestehende Schmerzen zu erleichtern. In den vergangenen 20 Jahren hat das Verfahren an Bekanntheit gewonnen und erscheint auch in Bezug auf langfristige Ergebnisse als vielversprechend.[27] Dabei werden zuerst etwa 200 und 300 Milligramm Knorpelzellen arthroskopisch aus einem unbelasteten Bereich des Kniegelenkes (etwa Fossa intercondylaris) entnommen, dann diese Zellen in vitro ungefähr vier bis sechs Wochen lang kultiviert, bis es genügend Zellen gibt, um sie wieder im beschädigten Bereich des Gelenkknorpels zu replantieren. Diese autologen Zellen sollten sich durch Bildung neuen Knorpels an ihre neue Umgebung anpassen. Bei der Implantation werden Knorpelzellen in Verbindung mit einer Membran (äußere Knochenhaut des Schienbeins oder Biomembran) oder einer Gerüstmatrix auf den beschädigten Bereich aufgebracht. Es gibt Hinweise zur Effektivität dieser Methode bei der Behandlung symptomatischer Knorpeldefekte des Kniegelenks.[28]

Arthroskopische Techniken

Hierzu gehören verschiedene Techniken, wie die Anfrischung degenerativ veränderter Regionen des Gelenkknorpels mittels Shaving, Pridie-Bohrung, oder die Implantation von Carbon-Stiften.

Therapie bei beginnender und fortgeschrittener Arthrose

In der Mehrzahl der Fälle wird eine Therapie erst begonnen, wenn die Arthrose bereits merklich schmerzt und eine deutliche Gelenkveränderung bewirkt hat. Dann ist es das Ziel der Therapie – trotz des Gelenkverschleißes – eine ausreichende Beweglichkeit und Belastbarkeit des Gelenkes noch für einige Zeit zu erhalten.

Operation, Endoprothese (Gelenkersatz)

Totalendoprothese des Hüftgelenkes
  • Zu den operativen Therapien der Arthrose gehört unter anderem neben der operativen Gelenkumstellung (Korrekturosteotomie), der Abrasion (auch Gelenktoilette genannt) und der Gelenkversteifung (Arthrodese), insbesondere der künstliche Gelenkersatz (Endoprothese). In Deutschland werden derzeit etwa 160.000 endoprothetische Operationen an der Hüfte und etwa 80.000 an den Kniegelenken durchgeführt – mit steigender Tendenz. Die durchschnittliche Standzeit einer Hüftgelenksendoprothese liegt bei ca. 15 Jahren.
  • Die definitive langfristige Lösung ist immer eine solche Endoprothese. Komplikationen sind bei erfahrenen Operateuren selten, können aber dramatische Folgen haben (Infektion, Materialbruch, Frühlockerung). Prothesenlockerung nach Standzeiten von mehr als zehn Jahren sind keine Komplikation, sondern ein bislang noch nicht zu verhindernder natürlicher Vorgang. Die erforderlichen Wechseloperationen sind wesentlich aufwändiger als die Primäroperationen und daher auch mit deutlich mehr Komplikationen belastet. Sie lassen sich nicht beliebig oft wiederholen, da jedes Mal mehr Knochensubstanz „verbraucht“ wird. Daher wird im Regelfall versucht, die Erstimplantation bis ins 6. Lebensjahrzehnt herauszuzögern.

Besonders die „letzte Prothese“ im fortgeschrittenen Alter ist oft sehr problematisch. Wo bereits Knochensubstanz durch Osteoporose verloren gegangen ist, sind eventuell sogar Brüche nach einer OP mit kaum noch beherrschbaren Komplikationen programmiert.

Unterarmgehstütze
leitlinienkonforme Maßnahme der Orthopädietechnik bei Hüftgelenksarthrose[25]

Konservative Therapieformen

Wichtig ist eine umfassende Aufklärung des Patienten über die Erkrankung, deren natürlichen Verlauf und dessen therapeutische Beeinflussbarkeit. Die Beratung sollte auch Themen wie das Verhalten im Alltag, die körperliche Belastung in Beruf und Sport oder Bewegungsmangel, das Körpergewicht, und Training (insbesondere auch Eigenübungen) zur Beseitigung muskulärer Defizite umfassen.[25][26]

Medikamente aus unterschiedlichen Substanzgruppen werden zur Schmerzreduktion und zur Entzündungshemmung systemisch und/oder lokal eingesetzt. Hierzu werden Antiphlogistika (Nichtsteroidale Antirheumatika (NSAR), Glucocorticoide (nur lokal), SYSADOA (Symptomatic Slow Acting Drugs in OA) wie Chondroitin, Glucosamin, Diacerhein, Hyaluronsäure und einige pflanzliche Extrakte wie beispielsweise Artischockenextrakt) und die therapeutische Lokalanästhesie empfohlen.[19][25][26]

Aus den Bereichen physikalische Therapie und Orthopädietechnik werden Physiotherapie (Mobilisierung, Muskelkräftigung, Dehngymnastik und Koordinationsschulung), Wärmetherapie, Hydro- und Balneotherapie, Elektrotherapie, sowie Gehstock beziehungsweise Unterarmgehstützen, Pufferabsätze, Keilkissen, Sitzerhöhungen, Arthrodesenstuhl, Entlastungsorthesen und Bandagen empfohlen.[25][26]

Der Wirksamkeitsnachweis von Therapiemaßnahmen bei Arthrose ist nicht einfach, da im Verlauf der Krankheit schmerzlose Phasen mit schmerzhaften Phasen abwechseln. Auch die Gelenkbeweglichkeit kann im Verlauf der Krankheit variieren. Gleichzeitig ist der Nachweis von wirksamen Therapiemaßnahmen bei der Vielzahl der betroffenen Menschen bei einer älter werdenden Bevölkerung unumgänglich. Im Bereich des Hüft- oder Kniegelenks kann man die Arthrose anhand der schmerzfreien Gehstrecke und der Gelenkbeweglichkeit dokumentieren. Ist eine Therapiemaßnahme wirksam, muss sie die sogenannte „freie Gehstrecke“ zumindest beibehalten oder die Gelenkbeweglichkeit sogar verbessern. Diese Wirkungen sollten auch noch nach einem oder mehreren Jahren nachweisbar sein.

Gut belegte Therapieformen

  • Laut der Arzneimittelkommission der Deutschen Ärzteschaft (AkdÄ) ist bei Arthrose bisher nur die Wirksamkeit von Analgetika (Schmerzmittel) klinisch belegt, die symptomatisch, nicht aber kausal (ursächliche Behandlung) wirken. Dazu gehören die nicht-steroidalen Antirheumatika (NSAR) wie zum Beispiel Diclofenac , Ibuprofen oder Naproxen und die Cyclooxygenase-2-Hemmer (COX-2-Hemmer, wegen gehäufter Herzinfarkte und Schlaganfälle in die Diskussion gekommen). Derzeit sind die beiden Substanzen Etoricoxib und Celecoxib in Deutschland zugelassen. Außerdem werden in schweren Fällen die stark wirksamen Analgetika vom Morphin-Typ eingesetzt.
  • Zur Funktionsverbesserung wird oft Krankengymnastik eingesetzt.
  • Bei kranken Kniegelenken können oft schon eine Schuhzurichtung (etwa Schuhranderhöhungen und dämpfende Schuheinlagen) helfen, den weiteren Verfall zu bremsen.
  • Bei Reizzuständen der Gelenke mit Überwärmung und Schmerz bringen kühlende Maßnahmen eine kurzfristige Besserung der Symptome.
  • Auch Weidenrinden-Extrakte (salicylsäurehaltig) scheinen zur symptomatischen Behandlung von Arthrosepatienten geeignet.[29][30]
  • Studienergebnisse weisen auf eine Wirksamkeit der Akupunktur bei arthrosebedingten chronischen Kniegelenkschmerzen hin:
    • Ergebnisse einer großangelegten Studie der Deutschen Ersatzkassen wurden unter anderem im Deutschen Ärzteblatt[31][32] und The Lancet[33] präsentiert. Dabei erwies sich die Akupunktur als wirksam gegen Schmerzen im Kniegelenk bei Gonarthrose.
    • Bei der Gonarthrose sind Scheinakupunktur und eine durch Behandler mit mindestens 140 Stunden Ausbildung und zwei Jahren Erfahrung durchgeführte Akupunktur wirksamer als eine konventionelle leitlinienkonforme Standardtherapie zur Behandlung von chronischen Schmerzen. Dieses Ergebnis erbrachte die im Dezember 2005 veröffentlichte gerac-Gonarthrose-Studie. Sie fand unter den vorgegebenen Studienbedingungen keinen statistisch signifikanten Vorteil der Verumakupunktur gegenüber der Scheinakupunktur. Da „irgendeine“ Akupunkturbehandlung wesentlich erfolgreicher als eine konventionelle Therapie ohne Nadelstiche war, liegen Überlegungen nahe, dass entweder alleine die Reizung der Haut mit Nadeln einen schmerzlindernden Effekt hervorruft und/oder dass eine konventionelle Behandlung im Rahmen einer solchen Studie einen Nocebo-Effekt besitzt, da der Kontrollgruppe diese besondere Therapieform (Nadelstiche) vorenthalten wurde.[34][35]

Nicht ausreichend belegte Behandlungskonzepte

  • Eine Therapieoption bietet die Interleukin-1-Antagonist-Therapie: Aus dem Blut des Patienten soll ein IL-1-Antagonist gewonnen werden, der in das betroffene Gelenk injiziert wird. Die Wirksamkeit und Sicherheit dieser Therapie bei Arthrose wurde in zwei randomisierten placebokontrollierten Studien untersucht. Bei der GOAT-Studie der Universität Düsseldorf konnte bei 376 Patienten gezeigt werden, dass die Interleukin-1-Antagonist-Therapie der Hyaluronsäure und einer Placebobehandlung nach 6 und 24 Monaten signifikant überlegen war.[36][37] Eine niederländische Studie konnte zeigen, dass der IL-1-Antagonist gegenüber einem Plazebo die Gelenkfunktion signifikant nach einem Jahr verbesserte und die Medikamenteneinnahme vermindert wurde, jedoch unterschied sich der WOMAC-Schmerzscore nicht gegenüber der Placebobehandlung.[38] Die Deutsche Gesellschaft für Rheumatologie rät von der Behandlung ab, da sowohl die Studien zu Grundlagen als auch die klinischen Studien mangelhaft seien.[39][40] Wolfgang Becker-Brüser vom pharmakritischen Arznei-Telegramm sagt: "Sobald ich etwas in ein Gelenk injiziere, auch wenn es nur Kochsalzlösung ist, schaffe ich einen Puffer. Dadurch nehmen die Beschwerden zunächst ab. Die Effekte halten letztlich aber nicht lange an." Die Folge: Die Patienten kommen bald zurück und möchten eine weitere Orthokin-Behandlung.[41]
  • Hyaluronsäure: Der Abrieb von Knorpelsubstanz wird durch vom ungeschädigten Gelenk natürlich produzierte „Gelenkschmiere“ namens Hyaluronsäure reduziert. Der Degenerationsprozess soll während einer Dauerindikation damit ebenfalls – zumindest teilweise – reduziert oder sogar gestoppt werden können. Das Präparat muss intraartikulär injiziert werden, wobei das grundsätzliche Risiko einer Gelenkinfektion besteht.
  • Die Substanzen Glucosamin und Chondroitin (evtl. MSM) können bei positiver Disposition die Symptome der Arthrose etwas verbessern oder ihr weiteres Fortschreiten verzögern.[42] Ergebnisse über zwölf Wochen (effectiveness results of a prototypical 12-week, double-blind, randomized placebo-controlled trial of glucosamine) zeigten dagegen, dass Glucosamin bei der Arthrose im Knie in so kurzer Zeit offenbar nicht wirksam sein kann.[43] Eine weitere Nahrungsergänzung, die vielversprechend scheint, ist S-Adenosylmethionin. Kleinere Studien behaupten, dass es bei der Schmerzlinderung ebenso effektiv sei wie nichtsteroidale antiinflamatorische (entzündungshemmende) Schmerzmittel (Ibuprofen, Diclofenac, usw.), auch wenn es etwa vier Wochen dauert, ehe dieser Effekt einsetzt. In einer großen placebokontrollierten Studie wurden 572 Patienten mit Glucosamin oder Chondroitin oder mit einer Kombination beider Substanzen behandelt. Ziel der Studie war es herauszufinden, ob eine der Behandlungen den Verlauf der Krankheit bremsen könnte. Nach einer Behandlungsdauer von 18 Monaten konnte in keiner Behandlungsgruppe ein Vorteil gegenüber Placebo nachgewiesen werden.[44][45]
  • Extrake des Pilzes Agaricus blazei Murril haben in verschiedenen Studien gezeigt, dass sie dazu in der Lage sind, Entzündungen zu reduzieren und das Immunsystem zu modulieren, sodass sich die Entzündungsbereitschaft des Organismus insgesamt verringert.[46]

Therapiekonzepte in der klinischen Erprobung

Der Fibroblasten-Wachstumsfaktor-18 (FGF-18) regt in Modellorganismen bei intraartikulärer Injektion die Bildung von Knorpel an.[47][48] Ein rekombinant produziertes humanes FGF-18 befindet sich derzeit in der klinischen Erprobung zur Behandlung von Arthrose.[49][50]

Therapie bei aktivierter Arthrose

FDG PET/CT-Aufnahme einer aktivierten Arthrose beider Schultergelenke. Da FDG in Entzündungsherden angereichert wird, kann eine aktivierte Arthrose in der FDG-PET/CT dargestellt werden.

Eine aktivierte Arthrose ist eine Entzündungsreaktion des Gelenkes aufgrund einer Arthrose. Als klassische Therapie werden dabei eingesetzt:

  • Eventuell kurzfristige intraartikuläre Cortisontherapie
  • Kühlung
  • Physikalische Maßnahmen
  • Punktion von Reizergüssen und gegebenenfalls Gelenkspülung
  • Bei dauerndem Reizzustand des Gelenkes kann die Radiosynoviorthese eingesetzt werden. Dabei wird in das gereizte Gelenk ein meistens kolloidal aufgeschwemmter β-Strahler injiziert, mit dem Ziel, die hyperaktiven Zellen der Synovialmembran abzutöten. Hier gilt die strenge Indikationsstellung
  • Ruhigstellung/Entlastung.
  • Schmerztherapie (NSAR wie Diclofenac oder Opiate)[51]

Kosten für das Gesundheitssystem

Arthrosen sind mit erheblichen Kosten für das Gesundheitssystem verbunden. Erkrankungen des Muskel-Skelett-Systems nahmen 2004 mit 24,46 Mrd. Euro (= 10,9 %), nach den Erkrankungen des Kreislaufsystems (2004: 35,27 Mrd. Euro = 15,7 %) und den Erkrankungen des Verdauungssystems (33,27 Mrd. Euro = 14,8 %), den drittgrößten Kostenfaktor für Behandlungen von Erkrankungen in Deutschland ein. Von den Kosten für Erkrankungen des Muskel-Skelett-Systems wurden 6,77 Mrd. Euro (= 27,7 %) für die Behandlung von Arthrose aufgewandt. Über 96 % der Kosten für die Behandlung von OA 2004 in Deutschland entfiel auf die Personengruppe der Menschen ab 45 Jahren; etwa zwei Drittel (67,8 %) auf Personen ab 65 Jahren.[52]

Arthrose (Gelenkbezug und Sonderformen)

Die folgenden Arthroseformen beziehen sich namentlich auf das jeweils betroffene Gelenk:

Aktivierte Heberden-Arthrose des rechten Zeigefingers
Röntgenbild von Fingergelenkarthrosen (nennt man in den Endgelenken Heberden-Arthrose, in Mittelgelenken Bouchard-Arthrose). Links im roten Kasten ein unauffälliges Bild.

Die folgenden Arthrosebezeichnungen beschreiben den Status bzw. die Herkunft der Arthrose:

Literatur

  • Klaus-Dieter Thomann: Wirksame Hilfe bei Arthrose. TRIAS-Verlag, Stuttgart 2003, ISBN 3-8304-3094-9.
  • Gerhard Leibold: Arthritis und Arthrose. Jopp-Oesch Verlag, Zürich 2003, ISBN 3-0350-5037-6.

Einzelnachweise

  1. Robert-Koch-Institut (Hrsg) (2013) Arthrose. Gesundheitsberichterstattung des Bundes. Heft 54. RKI, Berlin
  2. Robert-Koch-Institut (Hrsg.): Gesundheit in Deutschland. Datentabellen. Gesundheitsberichterstattung des Bundes. Robert-Koch-Institut. Berlin.
  3. W. Fink, G. Haidinger: Die Häufigkeit von Gesundheitsstörungen in 10 Jahren Allgemeinpraxis. In: ZFA - Zeitschrift für Allgemeinmedizin. 83, 2007, S. 102–108, doi:10.1055/s-2007-968157. Zitiert nach: „Womit sich Hausärzte hauptsächlich beschäftigen.“ In: MMW-Fortschr Med 16, 2007.
  4. Deutsche Arthrose-Hilfe: Wie häufig ist Arthrose? Abgerufen am 15 Juli 2013.
  5. N. Arden, M. C. Nevitt: Osteoarthritis: epidemiology. In: Best practice & research. Clinical rheumatology. Band 20, Nummer 1, Februar 2006, S. 3–25, ISSN 1521-6942. doi:10.1016/j.berh.2005.09.007. PMID 16483904. (Review).
  6. 1 2 K. J. Bühling u. a.: Intensivkurs: Allgemeine und spezielle Pathologie. Verlag Elsevier, 2004, ISBN 3-437-42411-4, S. 84. eingeschränkte Vorschau in der Google-Buchsuche
  7. W. Pschyrembel u. a.: Klinisches Wörterbuch mit klinischen Syndromen und einem Anhang Nomina Anatomica. Verlag Walter de Gruyter & Co, 253. Auflage, 1977, ISBN 3-11-007018-9.
  8. 1 2 3 H. I. Roach, S. Tilley: The Pathogenesis of Osteoarthritis. In: Bone and Osteoarthritis F. Bronner und M. C. Farach-Carson (Editors), Verlag Springer, Band 4, 2007, ISBN 1-84628-513-5.
  9. M. Menschik, J. Neumüller, C. W. Steiner, L. Erlacher, M. Köller, R. Ullrich, W. Graninger, W. B. Graninger: Effects of ciprofloxacin and ofloxacin on adult human cartilage in vitro. In: Antimicrobial agents and chemotherapy. Band 41, Nummer 11, November 1997, ISSN 0066-4804, S. 2562–2565, PMID 9371369, PMC 164164 (freier Volltext).
  10. M. Egerbacher u. a.: Ciprofloxacin causes cytoskeletal changes and detachment of human and rat chondrocytes in vitro.In: Arch. Toxicol. 73, 2000, S. 557–563. PMID 10663387.
  11. H. Chang u. a.: Pefloxacin-induced arthropathy in an adolescent with brain abscess. In: Scand J Infect Dis 28, 1996, S. 641–643. PMID 9060073.
  12. A. Chaslerie u. a.: Polyarthropathy in an adolescent treated with pefloxacin. In: Therapie 47, 1992, S. 80. PMID 1523601 (Artikel in französischer Sprache)
  13. P. Das u. a.: Nitric oxide and G proteins mediate the response of bovine articular chondrocytes to fluidinduced shear. In: Journal of Orthopaedic Research 15, 1997, S. 87–93. PMID 9066531.
  14. A. J. Farrell, D. R. Blake, R. M. Palmer, S. Moncada: Increased concentrations of nitrite in synovial fluid and serum samples suggest increased nitric oxide synthesis in rheumatic diseases. In: Annals of the rheumatic diseases. Band 51, Nummer 11, November 1992, ISSN 0003-4967, S. 1219–1222, PMID 1466599, PMC 1012459 (freier Volltext).
  15. B. Fermor u. a.: The effects of static and intermittent compression on nitric oxide production in articular cartilage explants. In: Journal of Orthopaedic Research 19, 2001, S. 729–737. PMID 11518285.
  16. X. Liu u. a.: Force-mediated dissociation of proteoglycan aggregate in articular cartilage. In: Biorheology 43, 2006, S. 183—190. PMID 16912392.
  17. D. Symmons u. a.: Global burden of osteoarthritis in the year 2000. Documentation for GBD 2000 project. World Health Organization, Genf, 2002.
  18. New Diagnostic Tool For Arthritis Could Stop Irreversible Damage. In: sciencedaily.com. 27. April 2013; abgerufen am 22. Januar 2015.
  19. 1 2 C. Fassl u. a.: SYSADOA/DMOAD-Konzept setzt auf langsame positive Effekte. In: Rheuma Plus 4, 2005.
  20. W. Zhang u. a.: The placebo effect and its determinants in osteoarthritis – meta-analysis of randomised controlled trials. In: Ann Rheum Dis 2008 doi:10.1136/ard.2008.092015 PMID 18541604
  21. Knieschmerzen vorbeugen. In: vigo.de. 18. September 2014; abgerufen am 22. Januar 2015.
  22. Vorbeugung: So schützen Sie Ihr Knie. In: Focus Online. 4. August 2004; abgerufen am 22. Januar 2015.
  23. Lauflabor - Ist Laufen mit Minimalschuhen wie barfuß? In: runnersworld.de. 15. Februar 2013; abgerufen am 22. Januar 2015.
  24. Effectiveness of a Long-term use of a Minimalist Footwear Versus Habitual Shoe on Pain, Function and Mechanical Loads in Knee Osteoarthritis. Archiviert vom Original am 8. Dezember 2012; abgerufen am 22. Januar 2015.
  25. 1 2 3 4 5 S1-Leitlinie Koxarthrose. In: AWMF online
  26. 1 2 3 4 S1-Leitlinie Gonarthrose. In: AWMF online
  27. M. Brittberg u. a.: Treatment of deep cartilage defects in the knee with autologous chondrocyte transplantation. In: NEJM 331, 1994, S. 889–895. PMID 8078550.
  28. D. B. Saris u. a.: Characterized Chondrocyte Implantation Results in Better Structural Repair When Treating Symptomatic Cartilage Defects of the Knee in a Randomized Controlled Trial Versus Microfracture. In: Am J Sports Med 36, 2008, S. 235–246. doi:10.1177/0363546507311095 PMID 18202295
  29. B. Schmid u. a.: Wirksamkeit und Verträglichkeit eines standardisierten Weidenrindenextraktes bei Arthrose-Patienten: Randomisierte, Placebo-kontrollierte Doppelblindstudie. In: Zeitschrift für Rheumatologie 59, 2000, S. 314–320. doi:10.1007/s003930070053
  30. A. M. Beer u. a.: Weidenrindenextrakt bei Gon- und Coxarthrose – Ergebnisse einer Anwendungsbeobachtung mit Kontrollgruppe. In: Z Phytother 29, 2008, S. 215–222. doi:10.1055/s-0028-1101525
  31. Dieter Melchart, Andrea Streng, Andrea Hoppe, Susanne Jürgens, Wolfgang Weidenhammer, Klaus Linde: Akupunktur bei chronischen Schmerzen: Ergebnisse aus dem Modellvorhaben der Ersatzkassen. In: Deutsches Ärzteblatt. Band 103, Nr. 4. Deutscher Ärzte-Verlag, 27. Januar 2006, S. A-187 / B-160 / C-159.
  32. Claudia M. Witt, Benno Brinkhaus, Susanne Jena, Dagmar Selim, Christoph Straub, Stefan N. Willich: Wirksamkeit, Sicherheit und Wirtschaftlichkeit der Akupunktur - Ein Modellvorhaben mit der Techniker Krankenkasse. In: Deutsches Ärzteblatt. Band 103, Nr. 4. Deutscher Ärzte-Verlag, 27. Januar 2006, S. A-196 / B-169 / C-167.
  33. C. Witt u. a.: Acupuncture in patients with osteoarthritis of the knee: a randomised trial. In: The Lancet 366, 2005, S. 136–143. doi:10.1016/S0140-6736(05)66871-7 PMID 16005336
  34. S. Witte u. a.: Wirksamkeit und Sicherheit von Akupunktur bei gonarthrosebedingten chronischen Schmerzen: Multizentrische, randomisierte, kontrollierte Studie. (PDF; 1,6 MB) Dezember 2005.
  35. H. P. Scharf u. a.: Acupuncture and Knee Osteoarthritis – A Three-Armed Randomized Trial. In: Ann Intern Med 145, 2006, S. 12–20. PMID 16818924.
  36. A. W. Baltzer u. a.: Autologous conditioned serum (Orthokine) is an effective treatment for knee osteoarthritis. In: Osteoarthritis Cartilage 17, 2009, S. 152–160. PMID 18674932.
  37. P. Wehling u. a.: Autologous conditioned serum in the treatment of orthopedic diseases: the orthokine therapy. In: BioDrugs 21, 2007, S. 323–332. PMID 17896838.
  38. K. G. Yang u. a.: Autologous interleukin-1 receptor antagonist improves function and symptoms in osteoarthritis when compared to placebo in a prospective randomized controlled trial. In: Osteoarthritis Cartilage 16, 2008, S. 498–505. PMID 17825587.
  39. G. R. Burmester u. a.: Neufassung der Empfehlungen der Kommission Pharmakotherapie der DGRh. In: Zeitschrift für Rheumatologie 66, 2007, S. 83–84. doi:10.1007/s00393-006-0135-3
  40. S. Rehart u. a.: Aktualisierte Stellungnahme zu „Orthokin“. September 2009.
  41. Umstrittene Arthrose-Therapie – Pharmafirma will kritische Mediziner mundtot machen. In: sueddeutsche.de. 17. Dezember 2013; abgerufen am 22. Januar 2015.
  42. N. Poolsup u. a.: Glucosamine long-term treatment and the progression of knee osteoarthritis: systematic review of randomized controlled trials. In: Ann Pharmacother 39, 2005, S. 1080–1087. PMID 15855241.
  43. T. McAlindon u. a.: Effectiveness of glucosamine for symptoms of knee osteoarthritis: results from an internet-based randomized double-blind controlled trial. In: Am J Med 117, 2004, S. 643–649. PMID 15501201.
  44. Arthritis supplements no better than placebo. In: newscientist.com. 30. September 2008; abgerufen am 22. Januar 2015 (englisch).
  45. A. D. Sawitzke u. a.: The effect of glucosamine and/or chondroitin sulfate on the progression of knee osteoarthritis: A report from the glucosamine/chondroitin arthritis intervention trial. In: Arthritis & Rheumatism 58, 2008, S. 3183–3191. doi:10.1002/art.23973 PMID 18821708
  46. G. Hetland u. a.: The Mushroom Agaricus blazei Murill Elicits Medicinal Effects on Tumor, Infection, Allergy, and Inflammation through Its Modulation of Innate Immunity and Amelioration of Th1/Th2 Imbalance and Inflammation. In: Advances in pharmacological sciences Vol. 2011, Epub Sep 2011, doi:10.1155/2011/art.157015 PMID 21912538
  47. E. E. Moore, A. M. Bendele, D. L. Thompson, A. Littau, K. S. Waggie, B. Reardon, J. L. Ellsworth: Fibroblast growth factor-18 stimulates chondrogenesis and cartilage repair in a rat model of injury-induced osteoarthritis. In: Osteoarthritis and cartilage / OARS, Osteoarthritis Research Society Band 13, Nummer 7, Juli 2005, S. 623–631, ISSN 1063-4584. doi:10.1016/j.joca.2005.03.003. PMID 15896984.
  48. D. Davidson, A. Blanc, D. Filion, H. Wang, P. Plut, G. Pfeffer, M. D. Buschmann, J. E. Henderson: Fibroblast growth factor (FGF) 18 signals through FGF receptor 3 to promote chondrogenesis. In: The Journal of biological chemistry Band 280, Nummer 21, Mai 2005, S. 20509–20515, ISSN 0021-9258. doi:10.1074/jbc.M410148200. PMID 15781473.
  49. clinicaltrials.gov: Study of AS902330 (rhFGF-18) Administered Intra-articularly in Patients With Knee Primary Osteoarthritis Who Are Candidates for Total Knee Replacement. Abgerufen am 30. Januar 2011.
  50. clinicaltrials.gov: A Multicenter Study of rhFGF 18 in Patients With Knee Osteoarthritis Not Requiring Surgery. Abgerufen am 30. Januar 2011.
  51. Diagnose Arthrose. In: medipresse.de. 19. November 2012; abgerufen am 22. Januar 2015.
  52. Statistisches Bundesamt (Hrsg.): Gesundheit. Ausgaben, Krankheitskosten und Personal 2004. Statistische Bundesamt, Wiesbaden, 2006.
Dieser Artikel behandelt ein Gesundheitsthema. Er dient nicht der Selbstdiagnose und ersetzt keine Arztdiagnose. Bitte hierzu diesen Hinweis zu Gesundheitsthemen beachten!