Wir freuen uns über jede Rückmeldung. Ihre Botschaft geht vollkommen anonym nur an das Administrator Team. Danke fürs Mitmachen, das zur Verbesserung des Systems oder der Inhalte beitragen kann. ACHTUNG: Wir können an Sie nur eine Antwort senden, wenn Sie ihre Mail Adresse mitschicken, die wir sonst nicht kennen!
unbekannter Gast
Dies ist Version . Es handelt sich nicht um die aktuelle Version und kann folglich auch nicht geändert werden.
[Zurück zur aktuellen Version]    [Diese Version wiederherstellen]
vom 02.06.2014, aktuelle Version,

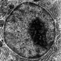
Zellkern

Elektronenmikroskopische Aufnahme des Zellkerns.

Als Zellkern, Nucleus oder Nukleus (lat. nucleus „Kern“) bezeichnet man ein im Cytoplasma gelegenes, meist rundlich geformtes Organell der eukaryotischen Zelle, welches das Erbgut enthält. Mit nukleär wird ein Bezug auf den Zellkern ausgedrückt. Ebenso mit karyo oder Karyo (altgriechisch κάρυον káryon „Kern“), zum Beispiel in Eukaryoten oder Karyotyp.

Der Zellkern ist das Hauptmerkmal zur Unterscheidung zwischen Eukaryoten (Lebewesen mit abgegrenztem Zellkern) und Prokaryoten (Lebewesen ohne abgegrenzten Zellkern, also Bakterien und Archaeen). Er enthält den größten Teil des genetischen Materials der eukaryontischen Zellen in Form von mehreren Chromosomen. Weitere Gene finden sich in den Mitochondrien und bei Pflanzen auch in Chloroplasten. Die meisten Zellen enthalten genau einen Kern. Es gibt jedoch auch Ausnahmen. Beispielsweise enthalten Myotuben, die durch Verschmelzung von Myoblasten entstehen, mehrere Kerne. In Embryonen der Fruchtfliege teilen sich Kerne sehr schnell, ohne dass zunächst trennende Zellmembranen entstehen. Reife Erythrozyten der Säuger enthalten keinen Kern mehr, er wird während der Reifung abgestoßen.

Wichtige Vorgänge, die innerhalb des Zellkerns ablaufen, sind DNA-Replikation (die Duplizierung des in Form von DNA vorliegenden genetischen Materials) und Transkription (das Erstellen einer mRNA-Kopie eines gegebenen DNA-Abschnitts, der oft, aber nicht immer, einem Gen entspricht).

Aufbau

Zellkern
Zellkern aus Medicago truncatula
Zwiebel ( Allium cepa) Zellkern, 400x, jodgefärbt

Zellkerne können je nach Zelltyp sehr unterschiedlich aussehen. Meistens sind sie kugelförmig oder oval. In einigen Zellen sehen sie eher geweihförmig aus. Manchmal kann der Zellkern in knotenartige Abschnitte untergliedert sein, so beim rosenkranzförmigen Zellkern der Trompetentierchen. Auch die Granulocyten der Säuger enthalten gelappte Kerne.

Der Zellkern, welcher bei Säugern typischerweise einen Durchmesser von 5 bis 16 µm hat, ist das im Mikroskop am leichtesten zu erkennende Organell der Zelle. Er wird durch die Kernhülle, bestehend aus zwei biologischen Membranen, der inneren und äußeren Kernmembran, begrenzt, welche die sogenannte perinukleäre Zisterne (Breite 10–15 nm, gefestigt von Mikrofilamenten – Dicke 2 bis 3 nm), umschließen. Die Gesamtdicke der Kernhülle beträgt etwa 35 nm. Die äußere Kernmembran geht fließend in das raue endoplasmatische Retikulum über und hat wie dieses auch Ribosomen auf ihrer Oberfläche. Die innere Kernmembran grenzt an einem 20–100 nm breiten „Filz“, der Kernlamina (Lamina fibrosa nuclei), die aus Laminen, einer Gruppe von Intermediärfilamenten, besteht, den Zellkern stützt und die innere Membran vom Chromatin des Zellkerns trennt. Durch die in der Kernhülle enthaltenen Kernporen, die ca. 25 % der Oberfläche bedecken, findet der aktive Stoffaustausch (z. B. rRNA oder mRNA) zwischen dem Kern und dem Zellplasma, gesteuert von einem Kernporenkomplex, statt. Regulatorische Proteine gelangen aus dem Cytoplasma in den Zellkern, Transkriptionsprodukte wie die mRNA werden zur Proteinsynthese, die an den Ribosomen des Cytoplasmas stattfindet, aus dem Kern in das Plasma exportiert. Die Flüssigkeit im Kern wird auch als Karyoplasma bezeichnet. Zellkerne können durch Anfärben der DNA lichtmikroskopisch hervorgehoben werden, z. B. durch die Feulgen-Färbung, durch Giemsa oder durch Fluoreszenzfarbstoffe wie DAPI.

Lichtmikroskopisch fallen in vielen Zellkernen ein oder mehrere rundliche Gebilde auf, die Kernkörperchen oder Nucleoli. Sie enthalten die Gene für ribosomale RNA. Hier werden die Untereinheiten der Ribosomen gebildet, welche durch die Kernporen ins Cytoplasma gelangen. Nucleoli enthalten im Vergleich zum Rest des Kerns nur geringe Konzentrationen von DNA, stattdessen mehr RNA. Andere „Körperchen“ des Zellkerns lassen sich nur durch spezielle Färbetechniken darstellen, etwa durch Antikörperfärbung. Die Funktion dieser Körperchen ist meistens noch unbekannt. Hierunter fallen etwa „Speckles“ (Ansammlungen von Faktoren, die für Splicing benötigt werden), Cajal Bodies oder PML-bodies.

Das Vorhandensein einer Kernmatrix wurde erstmals in den 1970er Jahren vorgeschlagen. Ihre Existenz ist jedoch weiterhin umstritten.

Das im Zellkern vorhandene Erbgut der Zelle befindet sich in den Chromosomen, mehrere zu Chromatin verpackte DNA-Fäden, die neben der DNA auch Proteine wie Histone enthalten. Neben den Histonen kommen auch andere Kernproteine, wie z. B. DNA-Polymerasen und RNA-Polymerasen, weitere Transkriptionsfaktoren sowie Ribonukleinsäuren im Kern vor.

Anordnung der Chromosomen

Zellkern eines Fibroblasten der Maus. Durch Fluoreszenz-in-situ-Hybridisierung (FISH) wurden die Territorien der Chromosomen 2 (rot) und 9 (grün) angefärbt. DNA-Gegenfärbung in Blau. Ein Klick auf das Bild öffnet eine Tafel mit weiteren Beispielen auch aus anderen Zelltypen der Maus.

Chromosomen nehmen während der Interphase abgegrenzte Bereiche im Zellkern ein, die Chromosomenterritorien. Deren Existenz wurde zuerst von Carl Rabl (1885) und Theodor Boveri (1909) vorgeschlagen, der direkte Nachweis gelang erst 1985 mit Hilfe der Fluoreszenz-in-situ-Hybridisierung.[1][2]

Die Verteilung des Chromatins und somit der Chromosomen innerhalb des Zellkerns erscheint auf den ersten Blick zufällig: Die Anordnung der Chromosomen zueinander wechselt von Kern zu Kern, Nachbarn in einem können im nächsten weit auseinander liegen. Seit den 1990er Jahren konnten jedoch einige Ordnungsprinzipien gefunden werden. Die DNA-Replikation erfolgt während der S-Phase nicht gleichmäßig, sondern an manchen Stellen der Chromosomen früher, an anderen später. Frühe oder späte Replikation sind dabei Eigenschaften, die für alle Abschnitte der Chromosomen in einem gegebenen Zelltyp konstant sind. Es stellte sich heraus, dass sich früh replizierte Bereiche vorwiegend im Inneren des Kerns befinden, während spät replizierte Bereiche vorwiegend an der Kernhülle und um die Nucleoli herum lokalisiert sind.[3] Für die Anordnung der Chromosomenterritorien im Zellkern wurde beobachtet, dass Chromosomen mit hoher Gendichte bevorzugt in der Mitte des Kerns liegen während Chromosomen mit niedriger Gendichte häufiger an der Peripherie zu finden sind. Für manche Zelltypen wurde auch beschrieben, dass kleine Chromosomen eher in der Mitte liegen während große außen sind.[4] Beide Motive sind dabei miteinander vereinbar.

Kernteilung

Bei der Mitose und der Meiose, den bei eukaryotischen Zellen vorkommenden Arten der Kernteilung, verschwindet der Zellkern zeitweilig, weil die Kernhülle während des Teilungsvorgangs aufgelöst wird. Während Chromosomen in der Interphase keine lichtmikroskopisch sichtbaren Abgrenzungen ausbilden, kondensieren sie für die Kernteilung zu den kompakten Metaphase-Chromosomen. In dieser Transportform wird das Erbgut auf die Tochterzellen verteilt. Nach der Teilung bilden sich die Kernhüllen um die Chromosomen der Tochterzellen wieder aus und die Chromosomen dekondensieren wieder.

Forschungsgeschichte

Rote Blutkörperchen des Lachses mit Zellkernen, gezeichnet von Leeuwenhoek, 1719
Oben: Zellkern eines menschlichen Fibroblasten, in dem alle 24 verschiedenen Chromosomen (1–22, X und Y) per Fluoreszenz-in-situ-Hybridisierung mit einer unterschiedlichen Kombination von insgesamt 7   Fluorochromen angefärbt wurden. Gezeigt ist eine mittlere Ebene in einem dekonvolvierten Bildstapel, der mit Weitfeld-Mikroskopie aufgenommen wurde.
Unten: Falschfarbendarstellung aller Chromosomenterritorien, die in dieser Fokusebene sichtbar sind, nach Computer-Klassifikation.

Der Zellkern ist das zuerst entdeckte Organell der Zelle. Die älteste erhaltene Zeichnung geht zurück auf den frühen Mikroskopiker Antoni van Leeuwenhoek (1632–1723). Dieser untersuchte rote Blutkörperchen des Lachses und beschrieb darin ein „Lumen“, den Zellkern.[5] Im Gegensatz zu den roten Blutkörperchen der Säugetiere haben jene der anderen Wirbeltiere Zellkerne. Eine weitere Erwähnung erfolgte 1804 durch Franz Andreas Bauer.[6]. 1831 wurde der Zellkern vom schottischen Botaniker Robert Brown in einem Vortrag vor der Linnéschen Gesellschaft in London als „areola“ beschrieben[7] Mögliche Bedeutungen erwähnte er nicht. Eine solche wurde zuerst 1838 von Matthias Schleiden vorgeschlagen, nämlich dass er eine Rolle bei der Bildung der Zelle spielt. Daher führte Schleiden den Namen ’’’Cytoblast’’’ (Zellenbildner) ein. Er meinte beobachtet zu haben, dass sich neue Zellen an diesen Cytoblasten bildeten. Franz Julius Ferdinand Meyen widersprach entschieden der Ansicht, dass „der Zellenkern die Zelle selbst erzeuge“. Er hatte schon zuvor beschrieben, dass sich Zellen durch Teilung vermehren. Allerdings war Meyen auch der Ansicht, dass viele Zellen keine Zellkerne hätten. Überwunden wurde die Vorstellung einer Neubildung von Zellen erst durch die Arbeiten von Robert Remak (1852) und durch Rudolf Virchow („Omnis cellula e cellula“, 1855), welcher die neue Lehre von der ausschließlichen Bildung von Zellen aus Zellen offensiv vertrat. Die Funktion des Zellkerns blieb weiter ungeklärt.

1876–1878 veröffentlichte Oscar Hertwig mehrere Studien über die Befruchtungsvorgänge des Seeigel-Eies, aus denen hervorging, dass der Zellkern des Spermiums in das Ei eindringt und dort mit dem Zellkern des Eies verschmilzt. Damit wurde zum ersten Mal behauptet, dass sich ein Individuum aus einer (einzelnen) kernhaltigen Zelle entwickele. Dies widersprach der von Ernst Haeckel vertretenen Ansicht, dass während der Embryonalentwicklung die gesamte Stammesgeschichte wiederholt würde, insbesondere auch die Entstehung der ersten kernhaltigen Zelle aus einer „Monerula“, einer strukturlosen Masse aus Urschleim. Die Notwendigkeit des Spermienkerns zur Befruchtung wurde daher noch lange Zeit kontrovers diskutiert. Hertwig bestätigte jedoch seine Befunde an anderen Tiergruppen, z. B. Amphibien und Mollusken. Eduard Strasburger kam an Pflanzen zum gleichen Ergebnis (1884). Dies ebnete den Weg, dem Kern eine wichtige Bedeutung bei der Vererbung zuzuweisen. Bereits 1873 hatte August Weismann die Gleichwertigkeit der mütterlichen und väterlichen Keimzellen für die Vererbung postuliert. Die Rolle des Kerns hierbei wurde erst später offenbar, nachdem die Mitose beschrieben wurde und Anfang des 20. Jahrhunderts die Mendel’schen Regeln wiederentdeckt wurden: Die Chromosomentheorie der Vererbung wurde entwickelt (siehe dort und Chromosom).

1874 isolierte Friedrich Miescher aus Zellkernen eine Substanz, die er als Nuclein bezeichnete (siehe Entdeckungsgeschichte im Artikel DNA). Nur wenige Jahre später kamen weitere Bestandteile wie Histone und Adenin (Albrecht Kossel) hinzu.[8] Es ist erst heute möglich, das Genom, das Transkriptom oder durch Massenspektrometrie auch das Proteom einer Zelle zu einem bestimmten Zeitpunkt zu bestimmen, um sich so ein umfassendes Bild dieses Systems zu machen.

Quellenangaben

  1. Schardin et al. Specific staining of human chromosomes in Chinese hamster x man hybrid cell lines demonstrates interphase chromosome territories. Hum. Genet. 71: 281, 1985. PMID 2416668.
  2. Manuelidis: Individual interphase chromosome domains revealed by in situ hybridization. Hum. Genet. 71: 288, 1985. PMID 3908288.
  3. O'Keefe et al.: Dynamic organization of DNA replication in mammalian cell nuclei: spatially and temporally defined replication of chromosome-specific alpha-satellite DNA sequences. J. Cell Biol. 116: 1095, 1992. Zusammenfassung und Volltext beim Journal of Cell Biology (englisch)
  4. Cremer and Cremer: Chromosome territories, nuclear architecture and gene regulation in mammalian cells. Nat Rev Genet 2: 292, 2001. PMID 11283701.
  5. Leeuwenhoek, A. van: Opera Omnia, seu Arcana Naturae ope exactissimorum Microscopiorum detecta, experimentis variis comprobata, Epistolis ad varios illustres viros. J. Arnold et Delphis, A. Beman, Lugdinum Batavorum 1719–1730. Zitiert nach Dieter Gerlach: Geschichte der Mikroskopie, Verlag Harry Deutsch, Frankfurt am Main 2009. ISBN 978-3-8171-1781-9.
  6. H. Harris: The Birth of the Cell. Yale University Press, New Haven 1999.
  7. Robert Brown: On the Organs and Mode of Fecundation of Orchidex and Asclepiadea. In: Miscellaneous Botanical Works. Band I, 1866, S. 511–514.
  8. Waldeyer, W.: Ueber Karyokinese und ihre Beziehungen zu den Befruchtungsvorgängen. In: Arch. mikr. Anat. 32 (1888) S. 1

Siehe auch

Chromosom, Intron, Exon, Epigenetik, Kernmatrix, Splicing

Literatur

T. Cremer: Von der Zellenlehre zur Chromosomentheorie. Springer Verlag, Berlin u. a., 1985, ISBN 3-540-13987-7 (online) (zur Geschichte; PDF; 6,1 MB)

  Commons: Zellkerne  – Sammlung von Bildern, Videos und Audiodateien
  Wiktionary: Zellkern  – Bedeutungserklärungen, Wortherkunft, Synonyme, Übersetzungen

Vorlage:Link FA Vorlage:Link FA Vorlage:Link FA Vorlage:Link GA