Lunatummalazie
| Klassifikation nach ICD-10 | |
|---|---|
| M92.2 | Juvenile Osteochondrose der Hand - Juvenile Osteochondrose des Os lunatum der Handwurzel (Kienböck-Krankheit) |
| ICD-10 online (WHO-Version 2019) | |
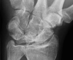
Die Lunatummalazie (syn. Mondbeinnekrose, Kienböck-Krankheit) ist der weitgehende Untergang (Nekrose) des Mondbeins im Handgelenk. Sie ist schon lange bekannt, konnte aber erst mit der Entdeckung der Röntgenstrahlung anatomisch zugeordnet werden. Die erste Beschreibung erfolgte 1910 durch den österreichischen Röntgenarzt Robert Kienböck (1871–1953), nach dem die Erkrankung im anglo-amerikanischen Sprachraum benannt ist. Sie gehört zu den aseptischen Knochennekrosen.
Entstehung
Zur Pathogenese der Lunatummalazie gibt es keine gesicherte Theorie. Als begünstigende Faktoren werden diskutiert:
- Stressfraktur mit konsekutiver Devaskularisierung, wenn das Os lunatum hauptsächlich durch eine einzige, von volar/palmar kommenden Arterie versorgt wird.
- rezidivierende Mikrotraumata des Handgelenkes durch längerfristiges Arbeiten mit einem Drucklufthammer
Verlauf
Die Nekrose entwickelt sich ohne sonderliche Schmerzen und kann jahrelang unentdeckt bleiben. Schmerzen in der Streckseite des proximalen Handgelenks führen zur Röntgenuntersuchung, die häufig und in einem fortgeschrittenen Stadium eine Blickdiagnose ermöglicht. Die Magnetresonanztomographie und die Computertomographie können initial zur Diagnosesicherung beitragen. Entwickeln können sich ein Kraftverlust der betroffenen Hand und deutliche Bewegungseinschränkungen des Handgelenks.
Orthesen zur Ruhigstellung des Handgelenks können sinnvoll sein. Zusätzlich können verschiedene operative Therapieverfahren eingesetzt werden. In Ausnahmefällen – Schmerzen bei hochgradigen Aufbraucherscheinungen im Handgelenk – kann die operative Versteifung (Arthrodese) des Handgelenks oder der proximalen Handwurzelknochen erwogen werden.[1]
Weblinks
- G. I. Bainet al.: The Etiology and Pathogenesis of Kienböck Disease. In: Journal of wrist surgery. Band 5, Nummer 4, November 2016, S. 248–254, doi:10.1055/s-0036-1583755, PMID 27777813, PMC 5074830 (freier Volltext).
- Kienböck’s Disease: Advances in Diagnosis and Treatment (2016)
- Kienbock's Disease (RUSH 2016)
Einzelnachweise
License Information of Images on page#
| Image Description | Credit | Artist | License Name | File |
|---|---|---|---|---|
| Dorsopalmare Röntgenaufnahme vom linken Handgelenk eines 58-jährigen Druckluftarbeiters: Lunatummalazie | Überlassene CD beim Patienten | Dr. med. Ulf Schneider, Orthopäde in Anklam | Datei:Lunatummalazie AP.jpg | |
| The Rod of Asclepius overlaid with a caution symbol | Star of life caution.svg with Nuvola apps important.svg | Gigillo83 | Datei:P medicine caution.svg |
