Knochen

Der Knochen oder lateinisch das Os (Plural Ossa; altgriechisch οστούν in Zusammensetzungen Osteo-), deutsch auch Bein (aus germanischer Wortwurzel, vergleiche Brustbein, Elfenbein, Beinhaus und englisch bone) ist ein druck- und zugfestes Organ. Aus Knochen bestehen die Endoskelette der Wirbeltiere. Kleine Knochen, beispielsweise akzessorische Knochen in Hand- oder Fußwurzel oder die Gehörknöchelchen, werden oft als Ossikel (lateinisch Ossiculum ‚Knöchelchen‘) bezeichnet.
Knochen sind Teil des Stütz- und Bewegungsapparats und werden dem passiven Bewegungsapparat zugerechnet. Die einzelnen Knochen sehen je nach Lage und Funktion unterschiedlich aus. Gleichzeitig schützen die Knochen innere Organe, wie die Schädelknochen das Gehirn und der Brustkorb das Herz und die Lunge. Außerdem bilden sich im roten Knochenmark die roten Blutkörperchen, die Blutplättchen und die weißen Blutkörperchen. Die Größe variiert zwischen den nur millimetergroßen Gehörknöchelchen einiger Kleinsäuger bis zu den meterlangen Bein- und Rippenknochen der Dinosaurier.
Etymologie
Ursprünglich wurden Teile des Endoskeletts mit Bein (mittelhochdeutsch, althochdeutsch bein; Plural: Beine, Kollektivum: Gebein) bezeichnet, seit dem 14. Jahrhundert mit dem von knoche (mhd.) oder knoke (mnd.) abgeleiteten Knochen. Das wohl ursprünglich lautmalerische Wort (vgl. knacken) verdrängte weitgehend das ältere Bein. In den deutschen Namen einiger Knochen kommt das Wort Bein jedoch immer noch vor, beispielsweise bei fast allen Schädelknochen. Vgl. auch Elfenbein.
Knochenformen

Die Osteologie als Teilbereich der Anatomie unterscheidet verschiedene Knochenformen:
- Röhrenknochen (lange Knochen, Ossa longa): Oberarmknochen (Humerus), Elle (Ulna) und Speiche (Radius), Oberschenkelknochen (Femur) und Schien- (Tibia), Wadenbein (Fibula) und Fingerknochen. Die langen Knochen bestehen aus zwei Knochenenden (Epiphyse) und einem Knochenschaft (Diaphyse).
- platte Knochen (Ossa plana): am Schädel (Cranium) sowie als Rippen (Costae), Schulterblatt (Scapula), Brustbein (Sternum), Becken (Ossa coxae)
- kurze Knochen (Ossa brevia): ungeformte Knochen, wie Handwurzelknochen
- Sesambeine (Ossa sesamoidea): in Sehnen eingelagerte, kleine rundliche Knochen wie die Kniescheibe (Patella)
- luftgefüllte Knochen (Ossa pneumatica): enthalten mit Schleimhaut ausgefüllte Hohlräume, am Schädel das Stirnbein (Os frontale)
- unregelmäßige Knochen (Ossa irregularia): Sie lassen sich den anderen Knochenformen nicht zuordnen, Wirbel (Vertebrae) der Wirbelsäule oder der Unterkieferknochen (Mandibula).
Neben den bei allen Individuen auftretenden Knochen gibt es auch akzessorische (zusätzliche) oder überzählige Knochen.
Aufbau und Funktion
Knochen sind lebendige, gut durchblutete Organe aus verschiedenen Geweben. Die mechanischen Eigenschaften werden entscheidend vom Knochengewebe bestimmt. Dieses bildet an der Außenfläche des Knochens die Substantia corticalis (im Mittelteil von Röhrenknochen ist diese sehr dick und wird deshalb auch als Substantia compacta bezeichnet) und im Inneren die Substantia spongiosa, ein schwammartiges Gerüstwerk feiner Knochenbälkchen (Trabekel), die stets so angeordnet sind, dass sie nur auf Druck oder nur auf Zug belastet werden. Die Substantia corticalis macht 70 % der Knochendichte bei Erwachsenen und 30 % bei Kindern aus. Das Knochengewebe besteht zu 25 % aus Wasser, zu 30 % aus organischen und zu 45 % aus anorganischen Anteilen. Die organischen Anteile bestehen ihrerseits zu 95 % aus Kollagen vom Typ I.
Im Schaft von Röhrenknochen ist eine Markhöhle (Cavitas medullaris) ausgebildet. In der Markhöhle und in den Zwischenräumen der Spongiosa befindet sich das Knochenmark (Medulla ossium), das im Laufe des Lebens allmählich durch gelbes Fettmark ersetzt wird. Rotes Knochenmark bleibt nur in wenigen Knochen erhalten (Rippen, Brustbein, Wirbelkörper, Hand- und Fußwurzelknochen, platte Schädelknochen und Becken). Dort finden sich Blut bildende Zellen (siehe Hämatopoese).
Der Knochen wird von einer Bindegewebshaut umgeben, der äußeren Knochenhaut (Periost), die ihm eng anliegt. Alle inneren Oberflächen (Innenseite der Kortikalis, Oberfläche der Trabekel, Gefäßkanäle durch das Knochengewebe) sind mit der inneren Knochenhaut (Endost) bedeckt. An Gelenkflächen ist der Knochen mit Knorpel überzogen, das Periost ist hier unterbrochen.
Zuggurtung
Die Röhrenknochen unterliegen in der Regel Biegebelastungen, welche durch Muskeln, Faszienverstärkungen und Bänder herabgesetzt werden können. Ein bekanntes Beispiel hierfür stellt der Tractus iliotibialis dar. Dieses Prinzip der „Zuggurtung“ wurde von Friedrich Pauwels für die langen Knochen der oberen und der unteren Extremität beschrieben und hierauf basierend die Zuggurtungsosteosynthese entwickelt. Bei Überbeanspruchung oder bei traumatischer Läsion von Elementen der Zuggurtung, kann es zu spontanen Frakturen des Knochens (z. B. Marschfraktur) kommen.
Knochenwachstum und -umbau

Aus dem embryonalen Bindegewebe, dem Mesenchym, entstehen in der Umgebung von Blutkapillaren unter anderem Osteoblasten. Diese Zellen bilden das weiche Osteoid (kollagenhaltiges Bindegewebe), die noch unverkalkte Knochengrundsubstanz. Sie reichern mit der Zeit Hydroxylapatit an, erst durch die Einlagerung dieses Calciumphosphats wird der Knochen hart und stabil. Osteoblasten, die vollständig von Knochenmatrix umgeben sind, nennt man Osteozyten.
Das Längenwachstum eines Knochens unterliegt einem circadianen Rhythmus mit einem Hauptmaximum in der Nacht (Untersuchung an Ratten).[1] Auch nach den Ergebnissen der Untersuchungen von amerikanischen Forschern der University of Wisconsin–Madison wachsen Knochen hauptsächlich nachts. Die Ursache der insbesondere nachts auftretenden sogenannten Wachstumsschmerzen vor allem an den unteren Extremitäten bei Kindern ist aber nicht geklärt.[2] Unter Wachstumsschmerzen leidet bis zu ein Drittel aller Kinder zwischen drei und zwölf Jahren.[3]
Man kann zwei verschiedene Arten der Knochenentwicklung (Ossifikation) unterscheiden.
- Desmale Ossifikation – Entwicklung aus bindegewebiger Vorstufe (Schädeldach, Gesicht, Teile des Schlüsselbeins)
- Chondrale Ossifikation – Entwicklung aus hyalinem Knorpelskelett (Mehrheit der Knochen)
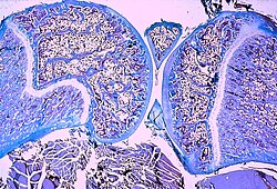
Das Längenwachstum der Röhrenknochen erfolgt in den knorpeligen Epiphysen- oder Wachstumsfugen zwischen Schaft und Epiphysen, wobei Blutgefäße einsprossen und gegen die Wachstumsfuge ein Labyrinth erweiterter Blutkapillaren bilden.[4] Die Knorpelzellen teilen sich in Längsrichtung gegen den Schaft (Diaphyse). Vom Schaft aus verknöchert dieser wachsende Knorpel. Die Epiphysen weichen dadurch auseinander, der Knochen wird länger. Die Wachstumsfugen gehen aus der knorpeligen Knochenanlage hervor. Sie schließen sich mit Abschluss des Längenwachstums; dies geschieht je nach Knochen in etwas unterschiedlichem Alter. Da die Wachstumsfugen röntgenologisch sichtbar sind, kann der Fugenschluss zur gerichtsmedizinischen Altersbestimmung herangezogen werden.
Die Epiphysenfugen als Sitz des Längenwachstums hatte 1739 erstmals der Botaniker Duhamel erkannt.[5] Mit der Entwicklung der Knochen befasste sich im 16. Jahrhundert auch bereits der Anatom Gabriele Falloppio.[6]
Knochen ist kein starres Gebilde, sondern unterliegt einem permanenten Umbau. Man spricht hier von Knochengeweberemodellierung.
Verletzungen und Erkrankungen des Knochens
Wenn ein Knochen durch äußeren Einfluss oder mangels Knochenmasse bricht, spricht man von einem Knochenbruch (Fraktur). Bei der Heilung wächst der Knochen unter der Knochenbruchbehandlung wieder zusammen. Dabei sollte darauf geachtet werden, dass sich die beiden Teile in richtiger Stellung zueinander befinden. Eine Ruhigstellung erfolgt konservativ, d. h. mit Hilfe eines Gipsverbandes oder einer Schiene, oder operativ als Osteosynthese mit Hilfe einer Marknagelung oder einer Verplattung. Werden die Knochenenden nicht ruhiggestellt, kann die Heilung ausbleiben, und es kommt zur Pseudarthrose, einem sogenannten „falschen Gelenk“.
Knochenerkrankungen (Osteopathien) und Störungen des Knochenstoffwechsels sind:
- Achondroplasie
- Fibrodysplasia ossificans progressiva
- Hypertrophe Osteoarthropathie
- Hypophosphatasie
- Knochenmarködem
- Morbus Ahlbäck
- Morbus Paget (Osteodystrophia deformans)
- Osteoporose
- Osteomalazie
- Osteochondrosis dissecans
- Osteogenesis imperfecta
- Osteomyelitis (Knochenentzündung)
- Panostitis
- Spongiosaödem
Knochen können auch im Rahmen von Erkrankungen mitbetroffen sein, deren primäre Ursache nicht im Knochen selbst liegt. Bei Brustkrebs und Prostatakrebs finden sich häufig Metastasen im Knochen, Knochenmetastasen. Das Multiple Myelom führt meist zu Osteolysen. Bei Niereninsuffizienz kommt es zu vermehrtem Knochenabbau (siehe Chronisches Nierenversagen).
Knochenverbindungen
Bewegliche Verbindungen von Knochen werden über Gelenke, Bänder sowie Muskeln mit ihren Sehnen hergestellt. Dazu befinden sich auf den Knochen Sehnenansatzzonen.[7] Die Knochenübergänge sind entsprechend der jeweiligen Gelenkform besonders ausgebildet.[8]
Verwendung tierischer Knochen




Tierknochen gehören zusammen mit Holz und Stein zu den ältesten Rohstoffen, die der Mensch für die Herstellung von Werkzeugen und Geräten wie Nadeln und Ahlen nutzte. In der Geißenklösterle-Höhle wurden relativ gut erhaltene oder rekonstruierbare Flöten mit Grifflöchern entdeckt, die nahezu 35.000 Jahre alt sind. Zwei von ihnen sind in einem Stück aus Schwanenknochen[9] gefertigt. Indianer benutzten die Adlerknochenpfeife. Knochenmark war eine geschätzte Nahrung. Knochen dienten zudem als Messergriffe und für andere Schäftungen. Perlen, Rosenkranzperlen, Haarnadeln und Kämme wurden bis ins Mittelalter vor allem aus Knochen gefertigt.[10] In China dienten Knochen, vor allem Schulterblätter, seit dem ausgehenden Neolithikum als Schreibmaterial für Orakelanfragen. Das macht Knochen zu einem der ältesten Beschreibstoffe,[11] wie auch der Fund der Runenknochen von der Unterweser belegt.
Seit Jahrhunderten sind Knochen das bevorzugte Material zur Anfertigung von Steg und Sattel beim Bau von Saiteninstrumenten, da die relativ große Härte dieses Materials einen positiven Einfluss auf den Klang des Instruments hat. Ein weiterer positiver Aspekt ist, dass Knochen einen natürlichen Fettgehalt haben, und dadurch quasi „selbstschmierend“ sind. Für die Saite heißt das, dass sie beim Stimmen gut im Sattel gleiten kann und dadurch entsprechend weniger Widerstand entsteht als bei anderen Materialien.[12] Zwar werden (aus Kostengründen, und wegen einfacherer Fertigung) inzwischen auch Graphit, verschiedene Kunststoffe, Ebenholz und gelegentlich auch Messing verwendet, aber speziell bei hochwertigen Instrumenten ist die Verwendung von Knochen immer noch die erste Wahl
Knochenasche (Spodium) enthält Calciumoxid und Calciumphosphat, was unter anderem dazu benutzt wurde, Porzellan eine besondere Transparenz zu verleihen. Die Ausdrücke Knochenporzellan und Feines Knochenporzellan rühren daher. Aus Knochen hergestellte Tierkohle hat ebenso verschiedene Anwendungen. Elfenbein- oder Beinschwarz sind schwarze Pigmente, die in der Malerei oder als Schuhcreme verwendet wurden.
Die Knochen von Nutztieren, insbesondere von Rindern und Schweinen, werden unter anderem genutzt, um daraus Gelatine, Seife oder Knochenleim zu produzieren. Des Weiteren wird heute nach wie vor Knochenmehl als organischer Dünger hergestellt.
Als Futterzusatz wurde Knochenmehl nach dem Aufkommen der bovinen spongiformen Enzephalopathie (BSE) ab 2001 auf dem Gebiet der EU verboten. Das Verbot wurde 2021 für die Haltung von Schweinen und Geflügel wieder aufgehoben, während es für reine Pflanzenfresser weiterhin nicht als Futtermittelzusatz erlaubt ist.[13]
Literatur
- Claus-Peter Adler: Morphologie der Knochenkrankheiten. Thieme, Stuttgart / New York 1983.
- Bernhard Tillmann, Gian Töndury: Bewegungsapparat. Band I. In: H. Leonhardt, Bernhard Tillmann, Gian Töndury, K. Zilles (Hrsg.): Rauber / Kopsch. Anatomie des Menschen. Georg Thieme Verlag, Stuttgart / New York 1987.
- Dieter Felsenberg: Struktur und Funktion des Knochens. In: Pharmazie in unserer Zeit. Band 30, Nr. 6, 2001, S. 488–493. doi:10.1002/1615-1003(200111)30:6<488::AID-PAUZ488>3.0.CO;2-U.
- Benno Kummer: Biomechanik. Form und Funktion des Bewegungsapparates. Deutscher Ärzte-Verlag, Köln 2005, ISBN 978-3-7691-0502-5.
Weblinks
Einzelnachweise
- ↑ R. Flammersfeld: Über den circadianen Profiferationsrhythmus in der proximalen Tibiametaphyse bei der jungen Ratte während der enchondralen Ossifikation. Inaugural-Dissertation. Medizinische Fakultät, Ruhr-Universität, Bochum 1988.
- ↑ Pschyrembel: Klinisches Wörterbuch 2013. Verlag Walter de Gruyter, Berlin / Boston 2012, ISBN 978-3-11-027788-3, S. 2246.
- ↑ Journal of Pediatric Orthopaedics. Ausgabe 24, Nr. 6, 2005, S. 726.
- ↑ P. Stanka, U. Bellack, A. Lindner: On the morphology of the terminal microvasculature during endochondral ossification in rats. In: Bone and Mineral. vol. 13, 1991, S. 93–101.
- ↑ Hermann Ecke, Uwe Stöhr, Klaus Krämer: Unfallchirurgie. In: Franz Xaver Sailer, Friedrich Wilhelm Gierhake (Hrsg.): Chirurgie historisch gesehen. Anfang – Entwicklung – Differenzierung. Mit einem Geleitwort von Rudolf Nissen. Dustri-Verlag Dr. Karl Feistle, Deisenhofen bei München 1973, ISBN 3-87185-021-7, S. 204–216, hier: S. 211.
- ↑ Paul Diepgen, Heinz Goerke: Aschoff/Diepgen/Goerke: Kurze Übersichtstabelle zur Geschichte der Medizin. 7., neubearbeitete Auflage. Springer, Berlin/Göttingen/Heidelberg 1960, S. 21.
- ↑ Michael Schünke: Topografie und Funktion des Bewegungssystems (3. Aufl. Stuttgart 2018) S. 74
- ↑ Michael Schünke u. a.: Prometheus ; Lernatlas der Anatomie (5. Aufl. Stuttgart 2018) S. 42
- ↑ urgeschichte.uni-tuebingen.de ( vom 19. Januar 2012 im Internet Archive; JPG) Flöte aus einem Schwanenknochen
- ↑ Mostefa Kokabi, Björn Schlenker, Joachim Wahl: Knochenarbeit – Artefakte aus tierischen Rohstoffen im Wandel der Zeit. (= Archäologische Informationen aus Baden-Württemberg. 27). Stuttgart 1994, ISBN 3-927714-23-2.
- ↑ Paola Demattè: The Origins of Chinese Writing: the Neolithic Evidence. In: Cambridge Archaeological Journal. Band 20, Nr. 2, 2010, S. 211–228.
- ↑ Stoll Guitars: Stegeinlage und Sattel - Knochen oder Kunststoff? 23. Oktober 2014, abgerufen am 26. Juni 2024 (deutsch).
- ↑ Verbot aufgehoben - Tiermehl darf wieder verfüttert werden Tagesschau, aufgerufen am 26. November 2022
License Information of Images on page#
Image Description | Credit | Artist | License Name | File |
---|---|---|---|---|
Mikroskopisches Schnittbild eines juvenilen Kniegelenkes (Ratte). Die Wachstumsfugen sind deutlich erkennbar | Eigenes Werk | P. Stanka | Datei:Bone (1).jpg | |
In die Epihysenfuge sprossendes Blutkapillar-Labyrinth beim Längenwachstum eines Knochens. Raster-elektronenmikroskopische Aufnahme eines Injektionspräparates | Eigenes Werk | P. Stanka | Datei:Bone microvasculature.JPG | |
Rinderknochen auf einer Farm in Namibia | Eigenes Werk | Olga Ernst | Datei:Bones of cattle on a farm in Namibia.jpg | |
The Wikimedia Commons logo, SVG version. | Original created by Reidab ( PNG version ) SVG version was created by Grunt and cleaned up by 3247 . Re-creation with SVG geometry features by Pumbaa , using a proper partial circle and SVG geometry features. (Former versions used to be slightly warped.) | Reidab , Grunt , 3247 , Pumbaa | Datei:Commons-logo.svg | |
Begriffsklärungs-Icon (Autor: Stephan Baum) | Eigenes Werk ( Originaltext: Own drawing by Stephan Baum ) Original Commons upload as File:Logo Begriffsklärung.png by Baumst on 2005-02-15 | Stephan Baum | Datei:Disambig-dark.svg | |
Selbstgemalte Darstellung eines grossen Roehrenknochens am Beispiel des Oberarmknochens (Humerus) zur Veranschaulichung von Epi- und Diaphyse. | Die Autorenschaft wurde nicht in einer maschinell lesbaren Form angegeben. Es wird angenommen, dass es sich um ein eigenes Werk handelt (basierend auf den Rechteinhaber-Angaben). | Die Autorenschaft wurde nicht in einer maschinell lesbaren Form angegeben. Es wird Chriudel als Autor angenommen (basierend auf den Rechteinhaber-Angaben). | Datei:EpiMetaDiaphyse.jpg | |
Das menschliche Skelett (Frontansicht). | Eigenes Werk (own work) - Deutsche Übersetzung von (German translation of) Image:Human_skeleton_front.svg | Furfur | Datei:Human skeleton front de.svg | |
Schulwandbild "Die Verwertung des Knochens" (um 1937), Schematische Darstellung zur vielfältigen Verarbeitung von Tierknochen zur Gewinnung von Halb- und Endprodukten der chemischen Industrie, Verwendet im Chemieunterricht, Organische Chemie, Schulmuseum, Goerdelerring in Leipzig , | Eigenes Werk | Frank Vincentz | Datei:Leipzig - Goerdelerring - 20Schulmuseum in 10 ies.jpg | |
SVG version of the Wikiquote logo. | Eigenes Werk | Rei-artur | Datei:Wikiquote-logo.svg | |
Datei:Wiktfavicon en.svg |